




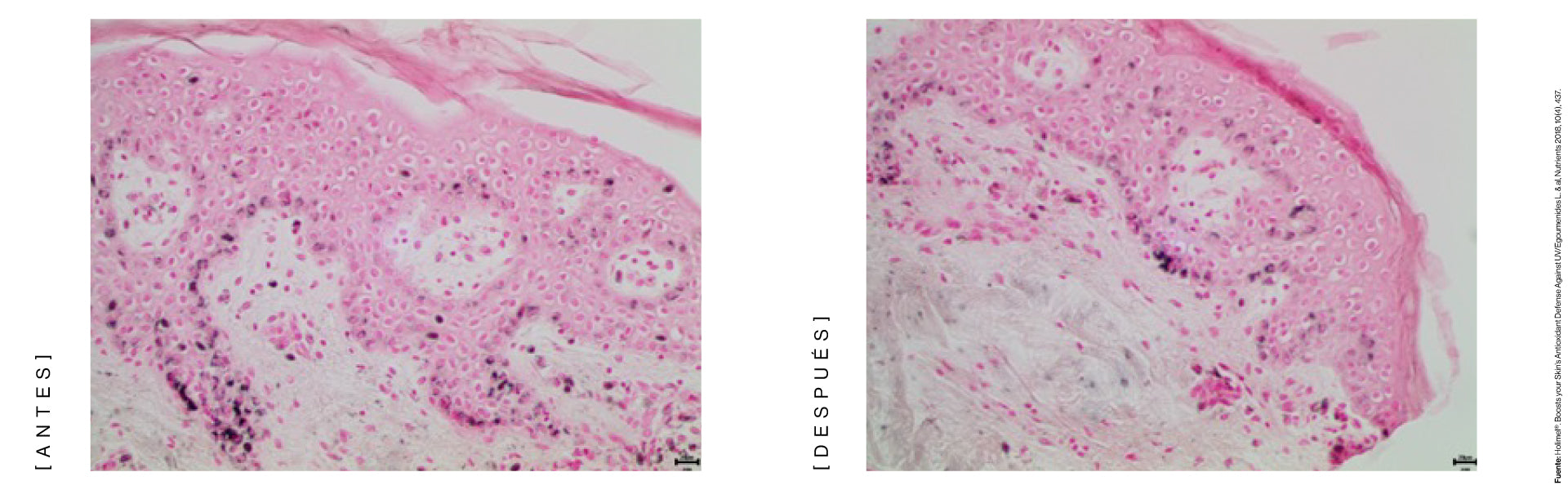
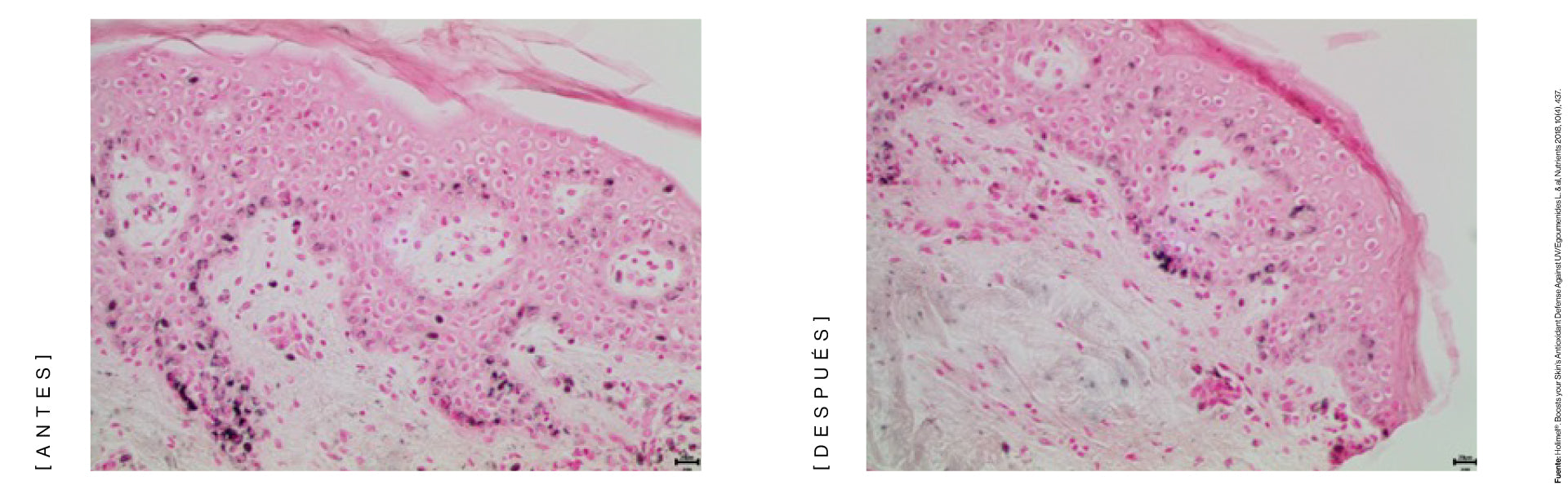
MelaControlX AM Serum Iluminador y Unificador de Tono
Suero despigmentante y antioxidante que combina la sinergia de activos como Alfa Arbutina, Ácido Tranexámico y Niacinamida para reducir visiblemente las manchas y unificar el tono, logrando una piel más luminosa y radiante. Fórmula avanzada, enriquecida con Superóxido Dismutasa, un potente antioxidante, protege la piel del estrés oxidativo y previene el daño causado por los radicales libres.
Ingredientes
Water, Niacinamide,Water (and) Mannitol (and) Phosphatidylcholine (and) Glycerin (and) Tranexamic Acid (and) Decyl Glucoside (and) Cetyl Alcohol (and) Potassium Sorbate (and) Sodium Benzoate (and) Niacinamide (and) Xanthan Gum (and) Sodium Chloride, Water (and) Mannitol (and) Phosphatidylcholine (and) Glycerin (and) Alpha-Arbutin (and) Cetyl Alcohol (and) Decyl Glucoside (and) Potassium Sorbate (and) Sodium Benzoate (and) Xanthan Gum (and) Sodium Chloride, Dimethyl Isosorbide, Caprylic/Capric Triglyceride, Water (and) 1,2 Hexanediol (and) Polygonatum Odoratum Extract, Glycerin, Ammonium Acryloyldimethyltaurate/VP Copolymer, Cetyl Alcohol, Hydroxyacetophenona, 1,2-Hexanediol (and) Caprylyl Glycol, Allantoin, Butyrospermum Parkii (Shea) Butter, Cucumis Melo (Melon) Fruit Extract (and) Hydroxypropyltrimonium Maltodextrin Crosspolymer, Disodium EDTA, Pentaerythrityl Tetra-di-t-butyl Hydroxyhydrocinnamate
Ficha Técnica
Precauciones: Para uso externo. Evita el contacto directo con los ojos. Si presentas alguna reacción desfavorable, suspende su uso. Almacena en un lugar fresco y seco, lejos de la luz directa del sol. Mantén fuera del alcance de los niños.
Contraindicaciones: hipersensibilidad a cualquier componente de la fórmula. Sí se presenta alguna sensibilidad o irritación, descontinuar su uso.
Registro Invima Limpiador MelaControlX AM Serum Iluminador y Unificador de Tono: NSOC41414-25CO
Elige opciones





RESPALDADO POR EXPERTOS
Dra. Luz de María Díaz
DERMATÓLOGA
La doctora Luz nos cuenta los beneficios de implementar el serum a tu rutina facial. Mejora las manchas y unifica el tono de la piel, dando como resultado una piel más luminosa y radiante.
Este producto ha sido creado por dermatólogos para pieles latinas.
#PIELES LATINAS
#DERMATOLOGÍA
¿Cómo usarlo?

Completa tu rutina
¿Nos viste en redes?




Reseñas
Preguntas frecuentes
Dependiendo del producto, tenemos productos para pieles secas, normales, grasas y mixtas, con texturas ultraligeras y de rápida absorción. Sin embargo, siempre deben ser recomendados por tu dermatólogo de confianza.
Hemos creado una rutina 1,2,3 para el cuidado de tu rostro, súper sencilla: limpia, hidrata y protege.
Dependiendo de tu condición médica y la opinión de un dermatólogo, podrás aplicarte nuestros productos Latinologia.
Siempre es recomendable seguir el consejo de un experto. En este caso, pregunta a tu dermatólogo de cabecera.
Sí, nuestros productos no son testeados en animales.
Todos nuestros productos están creados con componentes naturales por nuestro staff médico.
No, los productos Latinologia son libres de parabenos.
La diferencia más importante es que nuestros productos están creados para pieles latinas, expuestas a altos niveles de polución y diferentes climas, pensando en las necesidades específicas de nuestra piel.
Nuestros productos tienen una textura ultraligera que brinda una rápida absorción en tu piel. Si tienes alguna duda, consulta a tu dermatólogo.
Es importante usar un limpiador específico para tu tipo de piel. Si tienes piel seca, es recomendable lavar tu rostro una vez al día, preferiblemente por la noche, para eliminar impurezas y residuos de sudor acumulados durante el día. En caso de piel grasa, se aconseja lavarla dos veces al día, tanto por la mañana como por la noche.
No, por eso contamos con dos tipos de hidratantes especiales para cada tipo de piel, ambos libres de grasas, lo que significa que no dejarán una sensación grasosa en tu piel.
Si, es recomendable seguir la recomendación de un dermatólogo para saber cuáles productos se adaptan bien a su piel y cuáles se pueden usar junto con la hidratante Latinologia.